FOR PATIENTS

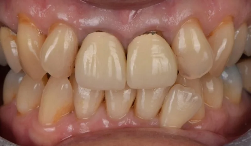
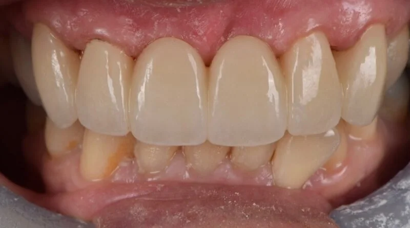
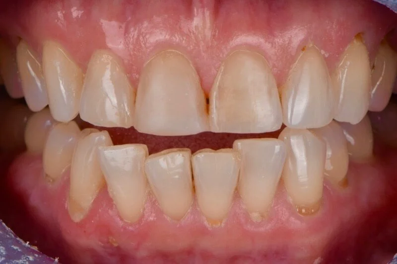
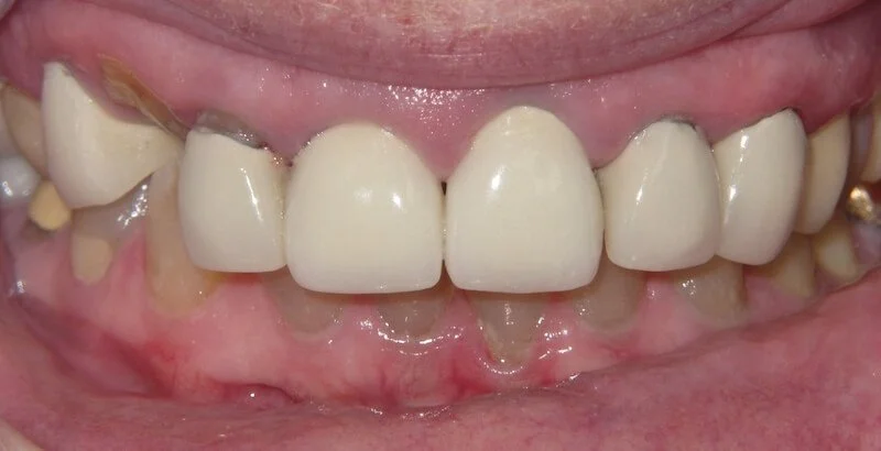
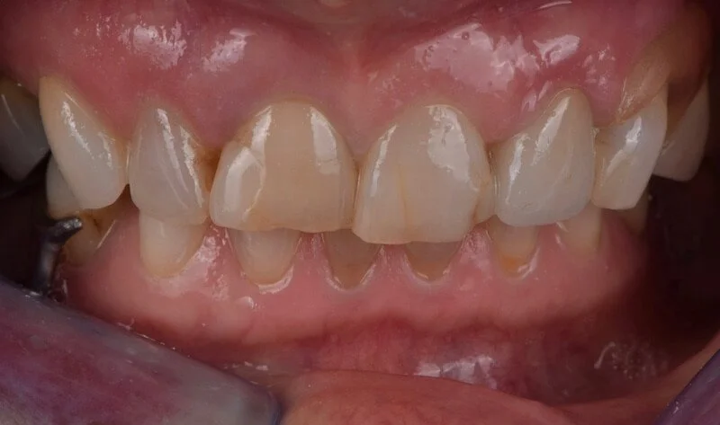
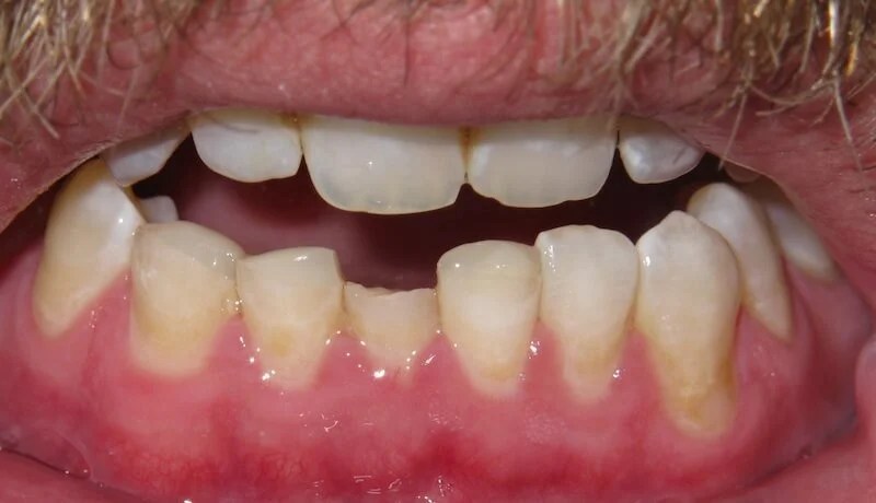
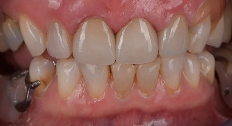
Before and After

We love helping our neighbors feel confident about their smiles. Take a look at some of the real results we’ve achieved for patients, and see how personalized dental care can make a meaningful difference.

SPECIAL NOTE: We understand that some users may not wish to see before/after images of teeth. If that might be you, simply click the back button or click here to return to our homepage before scrolling down.

SCHEDULE TODAY

Your Best
Smile Begins
at Guffee Dental

Whether you’re due for a cleaning, considering cosmetic improvements, or need restorative care, our team is ready to help you smile with confidence.